海外ジャーナルクラブ
6ヶ月前

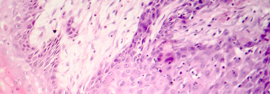
Breukersらは、 オランダの切除可能な有棘細胞癌 (CSCC) 患者を対象に、 術前療法としての抗PD-1抗体ニボルマブ (NIVO) +抗CTLA-4抗体イピリムマブ (IPI) 併用療法の有効性および安全性について、 多施設共同第Ⅱ相非盲検無作為化比較試験MATISSEでNIVO単剤と比較評価した。 その結果、 NIVO+IPI併用療法は高い病理学的奏効率および疾患特異的生存 (DSS) 率を示し、 安全性プロファイルも良好であった。 本研究はNat Med誌において発表された。
Nature Medicineでは、 臨床研究でも “Methods” が本文の最後 (Discussionの後) に配置される構成が多く、 読者にとっては、 流れがつかみにくい・結果の解釈に先立って方法論を参照しづらいという印象を受けやすいです。
高リスク有棘細胞癌への術後cemiplimabで再発・死亡リスク68%低減
CSCCは、 抗PD-1抗体に高い反応性を示すことが報告されている。 一方で、 抗PD-1抗体+抗CTLA-4抗体併用による術前療法の有効性および安全性については明らかになっていない。
そこで第Ⅱ相無作為化比較試験MATISSEでは、 NIVO単剤またはNIVO+IPI併用療法の有効性および安全性を比較評価した。
オランダにおいて、 切除可能なI~IVa期CSCC患者50例のうち40例が以下の2群に1 : 1で無作為に割り付けられ、 いずれも、 その後の4週時に標準治療 (SOC、 手術±RT [放射線療法]) を受けた。
残りの10例はSOCを拒否した。
主要評価項目はSOC時点における病理学的奏効率であった。 追跡期間の中央値は31ヵ月であった。
主要評価項目である病理学的奏効率は、 NIVO群が55%、 NIVO+IPI群が80%であった。 それぞれ45%、 50%が主要病理学的奏効 (MPR) を、 10%、 30%が部分病理学的奏効 (PPR) を達成した。
MPRまたはPPRを達成した患者における2年DSS率は100%であった。
安全性プロファイルは良好であった。 Grade3の免疫関連有害事象 (irAE) はNIVO群が12%、 NIVO+IPI群が8%で発現したが、 手術の遅延は認められなかった。
手術およびRTを拒否した10例のうち9例が抗PD-1抗体の2回投与のみで臓器温存と持続的な臨床的完全寛解 (cCR) を達成した。 これらの患者の2年DSS率も100%であり、 健康関連QOLも良好であった。
著者らは 「[18F]フルオロデオキシグルコースを用いたPET/CT検査で、 病変全体の解糖活性の早期変化を評価することで、 今後の試験において、 反応に基づく治療減量の対象患者を安全に選択できることが示唆された」 と報告している。
編集・作図:編集部、 監修:所属専門医師。各領域の第一線の専門医が複数在籍。最新トピックに関する独自記事を配信中。
編集・作図:編集部、 監修:所属専門医師。各領域の第一線の専門医が複数在籍。最新トピックに関する独自記事を配信中。