HOKUTO編集部
11ヶ月前

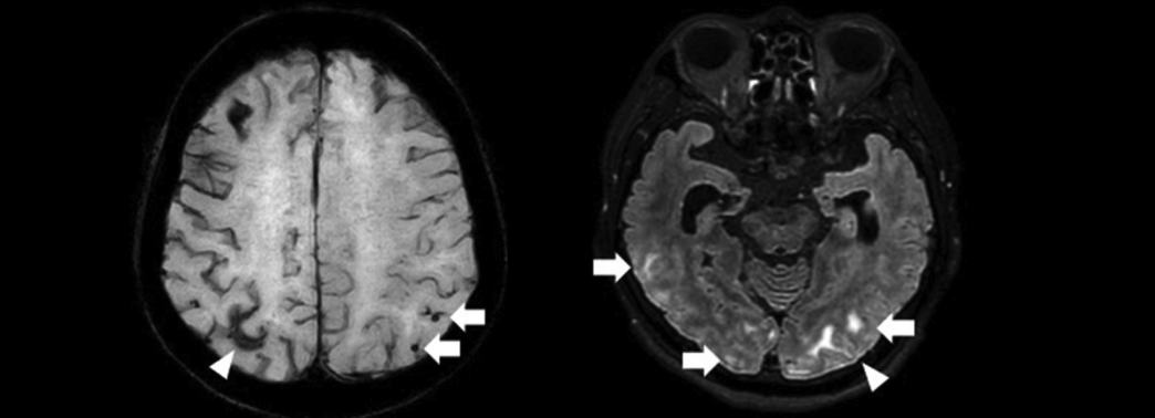
アルツハイマー病を取り巻く環境は、 この数年で大きく変化しつつあります。 抗アミロイドβ抗体薬により認知症診療も疾患修飾薬時代に突入し、 診断技術の進歩、 さらにはバイオマーカーの実用化など、 日々アップデートされる知見への対応が求められています。 本記事では、 これまでにHOKUTOで配信してきたアルツハイマー病関連の記事の中から、 臨床現場で役立つ内容を中心にご紹介します。



編集・作図:編集部、 監修:所属専門医師。各領域の第一線の専門医が複数在籍。最新トピックに関する独自記事を配信中。
編集・作図:編集部、 監修:所属専門医師。各領域の第一線の専門医が複数在籍。最新トピックに関する独自記事を配信中。