気胸とは、 「胸腔内に空気が貯留し、 肺が虚脱した状態」 を指す。 治療方針は原因の臨床的評価や、 患者の症状、 気胸のサイズによって決定されるため、 迅速な診断と病態の理解が極めて重要である¹。

気胸がどのように発生したかに基づく分類
原発性自然気胸 (Primary Spontaneous Pneumothorax; PSP) 明らかな基礎肺疾患がなく、 胸膜直下のブレブ (bleb) の破裂により生じる。 若年・長身・痩せ型の喫煙男性に好発。
続発性自然気胸 (Secondary Spontaneous Pneumothorax; SSP) COPDを筆頭に、 間質性肺炎、 肺癌、 肺結核、 LAM (リンパ脈管筋腫症)、 胸部子宮内膜症 (月経随伴性気胸) などの既存の肺疾患に合併
狭義の外傷性気胸 : 交通事故による肋骨骨折など、 胸部への直接的な外傷が原因
医原性気胸 (Iatrogenic) : 中心静脈カテーテル挿入、 経皮的肺生検、 人工呼吸器管理 (圧外傷) など、 医療行為に伴って発生する。
重症度は気胸のサイズだけでなく、 患者個々の呼吸予備能に大きく左右される。 同じサイズの気胸でも、 基礎肺疾患を持つ患者ではより重篤な症状を呈する。
評価法は複数存在するが、 いずれも三次元的な胸腔の容積を正確に反映するものではなく、 過大または過小評価する可能性がある。
■ 日本の一般的分類
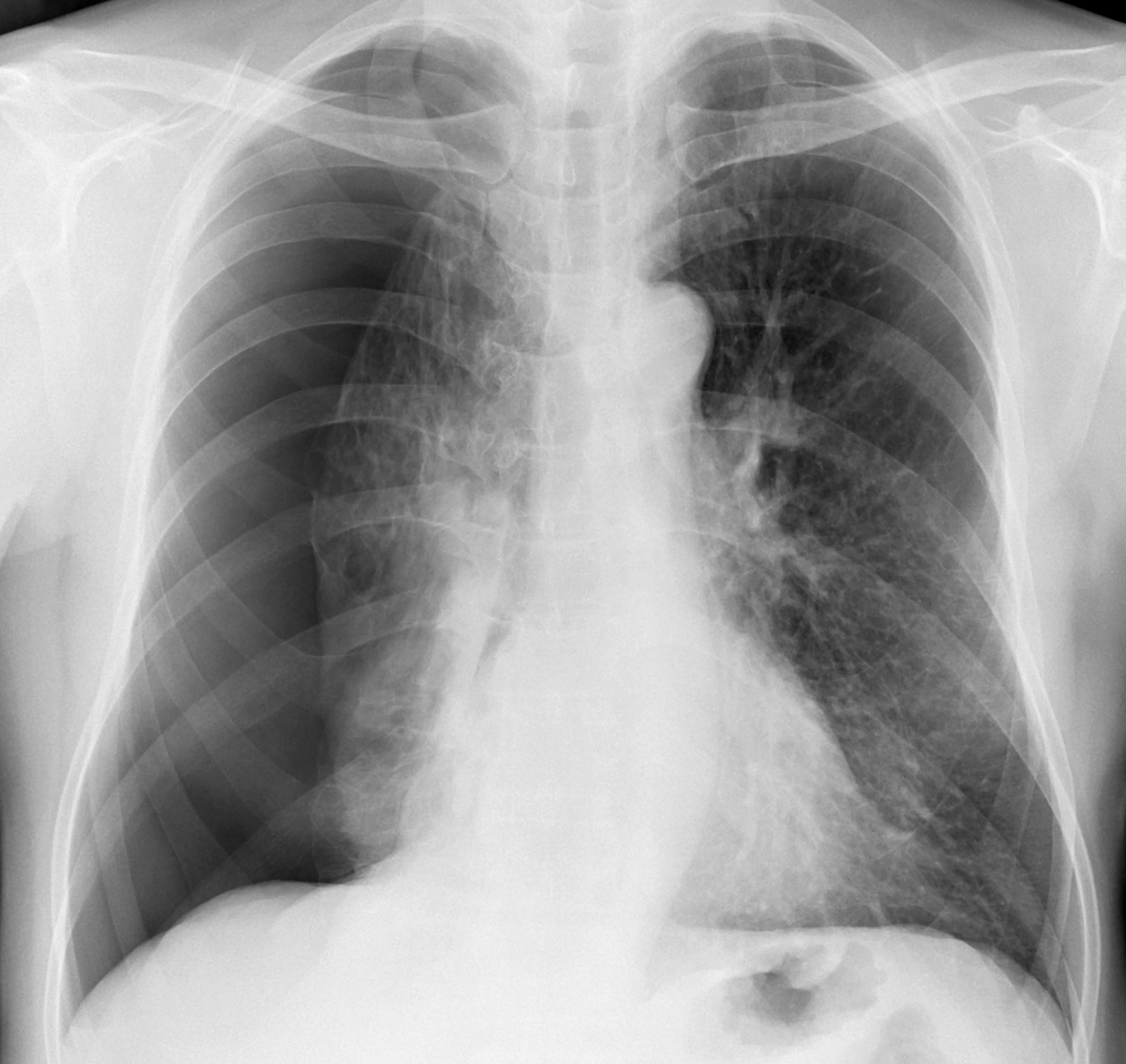
立位胸部X線写真で、 虚脱した肺尖と鎖骨の位置関係で 「軽度・中等度・高度」 に分類
軽度 (Mild) 虚脱した肺の頂上部 (肺尖部) が、 鎖骨と同じかそれよりも高い位置にある状態
中等度 (Moderate) 軽度と高度の中間の虚脱度。 肺尖が鎖骨より下に位置する状態
高度 (Severe) 肺が完全につぶれている (完全虚脱)、 またはそれに近い状態
■欧米の基準例
虚脱肺と胸壁間距離で 「大きい (large)」 に分類
ACCPガイドライン 肺尖部で、 胸壁と虚脱肺の間距離が ≧3 cm を 「大きい (large)」 とする¹⁾
BTSガイドライン 肺門レベルで、 胸壁と虚脱肺間距離が ≧2 cm を 「大きい (large)」 とする²⁾
2023年のBTSガイドラインでは、 サイズの重要性が以前より低減され、 "患者の臨床状態 (症状の重さやリスク因子)" をより重視する方針へ転換された³⁾。 実臨床では、 画像上のサイズ計測と患者の症状を総合して治療方針を決定する。
日本においては、 従来からの慣習で主に胸部X線写真における "形態学的な指標 (肺の虚脱度)" を重視し、 安静・脱気・ドレナージなどの治療方針を決定することがある。
3) British Thoracic Society Guideline for pleural disease. Thorax 2023; 78:s1-s42. PMID: 37433578
最終更新 : 2025年9月13日
監修医師 : 聖路加国際病院救急部 清水真人
気胸とは、 「胸腔内に空気が貯留し、 肺が虚脱した状態」 を指す。 治療方針は原因の臨床的評価や、 患者の症状、 気胸のサイズによって決定されるため、 迅速な診断と病態の理解が極めて重要である¹。

気胸がどのように発生したかに基づく分類
原発性自然気胸 (Primary Spontaneous Pneumothorax; PSP) 明らかな基礎肺疾患がなく、 胸膜直下のブレブ (bleb) の破裂により生じる。 若年・長身・痩せ型の喫煙男性に好発。
続発性自然気胸 (Secondary Spontaneous Pneumothorax; SSP) COPDを筆頭に、 間質性肺炎、 肺癌、 肺結核、 LAM (リンパ脈管筋腫症)、 胸部子宮内膜症 (月経随伴性気胸) などの既存の肺疾患に合併
狭義の外傷性気胸 : 交通事故による肋骨骨折など、 胸部への直接的な外傷が原因
医原性気胸 (Iatrogenic) : 中心静脈カテーテル挿入、 経皮的肺生検、 人工呼吸器管理 (圧外傷) など、 医療行為に伴って発生する。
重症度は気胸のサイズだけでなく、 患者個々の呼吸予備能に大きく左右される。 同じサイズの気胸でも、 基礎肺疾患を持つ患者ではより重篤な症状を呈する。
評価法は複数存在するが、 いずれも三次元的な胸腔の容積を正確に反映するものではなく、 過大または過小評価する可能性がある。
■ 日本の一般的分類
立位胸部X線写真で、 虚脱した肺尖と鎖骨の位置関係で 「軽度・中等度・高度」 に分類
軽度 (Mild) 虚脱した肺の頂上部 (肺尖部) が、 鎖骨と同じかそれよりも高い位置にある状態
中等度 (Moderate) 軽度と高度の中間の虚脱度。 肺尖が鎖骨より下に位置する状態
高度 (Severe) 肺が完全につぶれている (完全虚脱)、 またはそれに近い状態
■欧米の基準例
虚脱肺と胸壁間距離で 「大きい (large)」 に分類
ACCPガイドライン 肺尖部で、 胸壁と虚脱肺の間距離が ≧3 cm を 「大きい (large)」 とする¹⁾
BTSガイドライン 肺門レベルで、 胸壁と虚脱肺間距離が ≧2 cm を 「大きい (large)」 とする²⁾
2023年のBTSガイドラインでは、 サイズの重要性が以前より低減され、 "患者の臨床状態 (症状の重さやリスク因子)" をより重視する方針へ転換された³⁾。 実臨床では、 画像上のサイズ計測と患者の症状を総合して治療方針を決定する。
日本においては、 従来からの慣習で主に胸部X線写真における "形態学的な指標 (肺の虚脱度)" を重視し、 安静・脱気・ドレナージなどの治療方針を決定することがある。
3) British Thoracic Society Guideline for pleural disease. Thorax 2023; 78:s1-s42. PMID: 37433578
最終更新 : 2025年9月13日
監修医師 : 聖路加国際病院救急部 清水真人
編集・作図:編集部、 監修:所属専門医師。各領域の第一線の専門医が複数在籍。最新トピックに関する独自記事を配信中。
編集・作図:編集部、 監修:所属専門医師。各領域の第一線の専門医が複数在籍。最新トピックに関する独自記事を配信中。
・編集・作図:編集部、 監修:所属専門医師
・各領域の第一線の専門医が複数在籍
・最新トピックに関する独自記事を配信中
編集・作図:編集部、 監修:所属専門医師。各領域の第一線の専門医が複数在籍。最新トピックに関する独自記事を配信中。
臨床支援アプリHOKUTOでご利用いただける医療計算ツールのご紹介